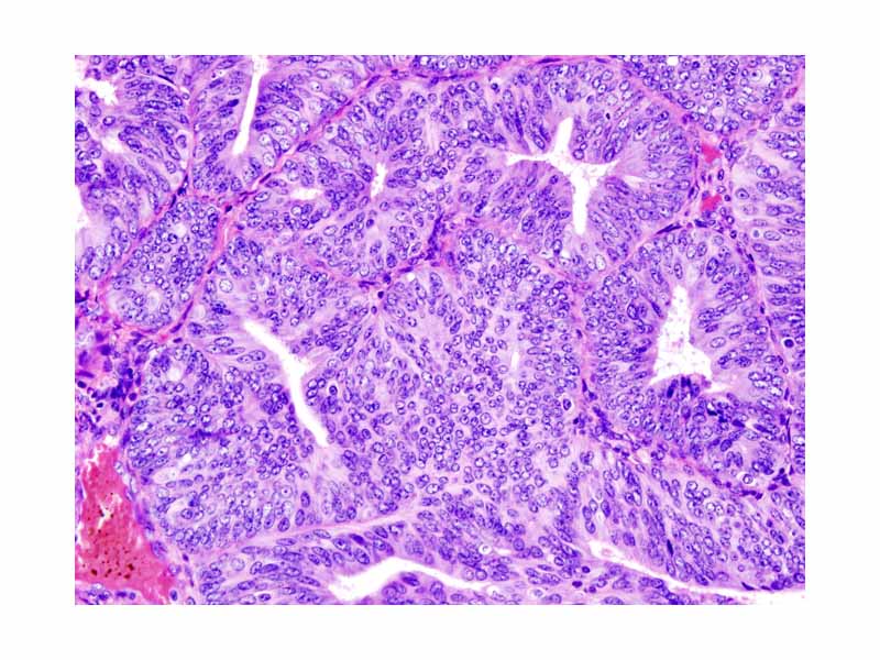
Histopathologic representation of endometrioid adenocarcinoma demonstrated in endometrial biopsy. Hematoxylin-eosin stain.

Click this LINK to visit the original image and attribution information. Right click on the image to save the 800px teaching JPEG.



Histopathologic representation of endometrioid adenocarcinoma demonstrated in endometrial biopsy. Hematoxylin-eosin stain.