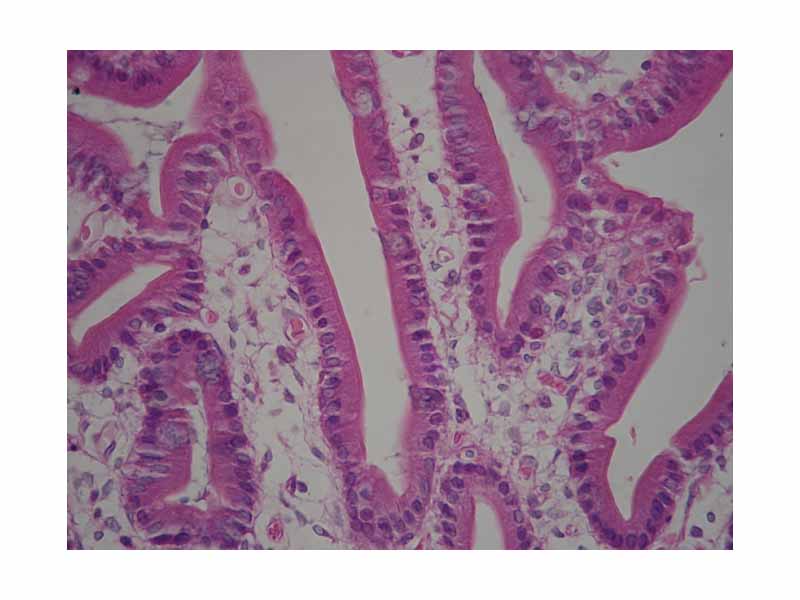
Duodenum with brush border (microvilli)

Click this LINK to visit the original image and attribution information. Right click on the image to save the 800px teaching JPEG.



Duodenum with brush border (microvilli)