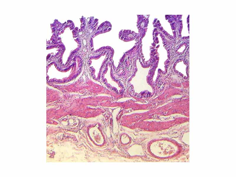
Stained section of a gall bladder showing the highly convoluted mucosal folds

Click this LINK to visit the original image and attribution information. Right click on the image to save the 800px teaching JPEG.



Stained section of a gall bladder showing the highly convoluted mucosal folds