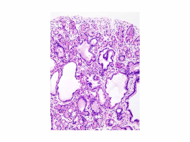
H&E stain of fundic gland polyp showing shortening of the gastric pits with cystic dilatation

Click this LINK to visit the original image and attribution information. Right click on the image to save the 800px teaching JPEG.



H&E stain of fundic gland polyp showing shortening of the gastric pits with cystic dilatation