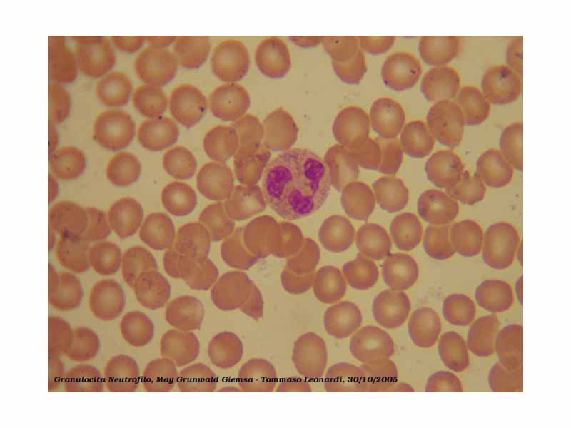
A blood smear showing a Neutrophil Granulocyte; the three-lobulated nucleus can be seen. This picture has been stained with MayGrunwald Giemsa, and observed with a 1000x objective in oil immersion.

Click this LINK to visit the original image and attribution information. Right click on the image to save the 800px teaching JPEG.



A blood smear showing a Neutrophil Granulocyte; the three-lobulated nucleus can be seen. This picture has been stained with MayGrunwald Giemsa, and observed with a 1000x objective in oil immersion.