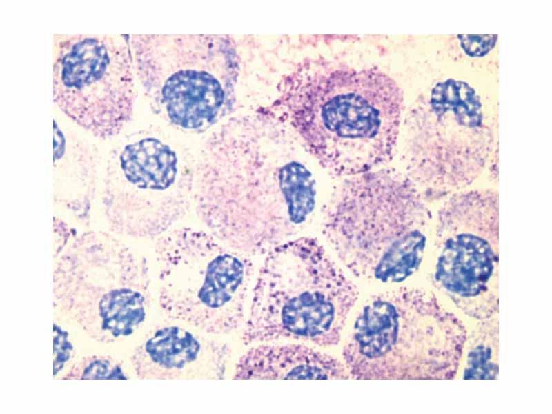
Mast cells

Click this LINK to visit the original image and attribution information. Right click on the image to save the 800px teaching JPEG.



Mast cells