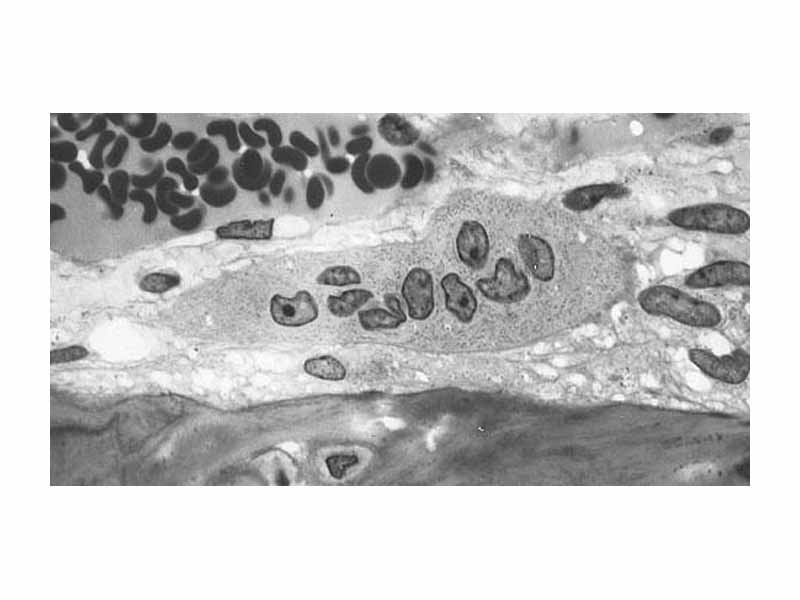
Osteoclast displaying many nuclei within its foamy cytoplasm

Click this LINK to visit the original image and attribution information. Right click on the image to save the 800px teaching JPEG.



Osteoclast displaying many nuclei within its foamy cytoplasm