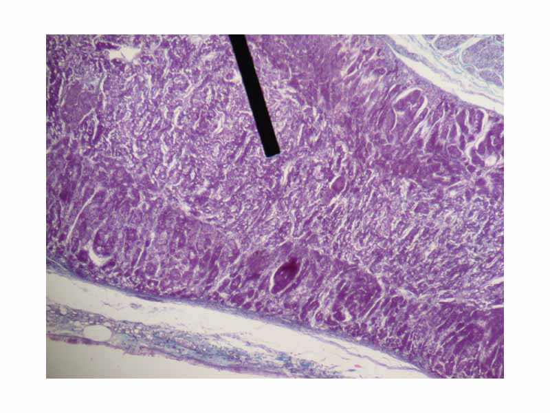
Medullary part of the adrenal gland (on the pointer).

Click this LINK to visit the original image and attribution information. Right click on the image to save the 800px teaching JPEG.



Medullary part of the adrenal gland (on the pointer).