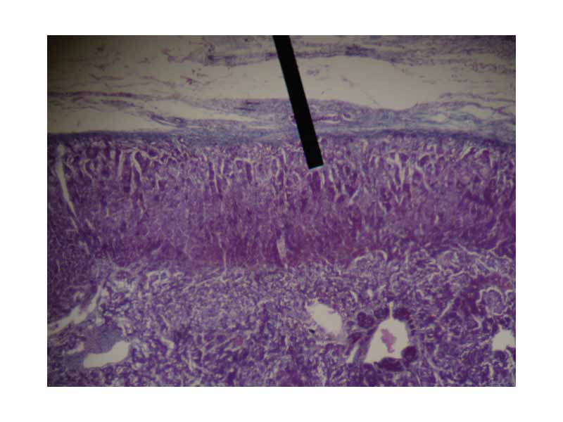
Adrenal gland (zona glomerulosa layer).

Click this LINK to visit the original image and attribution information. Right click on the image to save the 800px teaching JPEG.



Adrenal gland (zona glomerulosa layer).