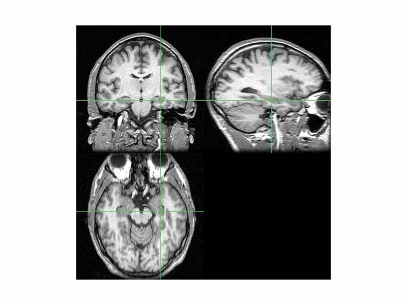
The location of one of the hippocampi is indicated by the crosshairs

Click this LINK to visit the original image and attribution information. Right click on the image to save the 800px teaching JPEG.



The location of one of the hippocampi is indicated by the crosshairs