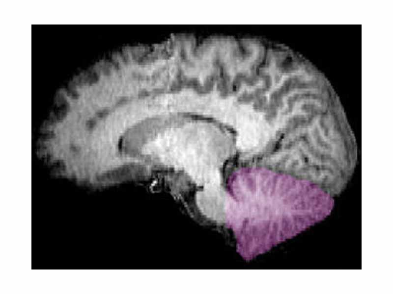
MRI image showing a mid-sagittal view of the human brain, with the cerebellum in purple.

Click this LINK to visit the original image and attribution information. Right click on the image to save the 800px teaching JPEG.



MRI image showing a mid-sagittal view of the human brain, with the cerebellum in purple.