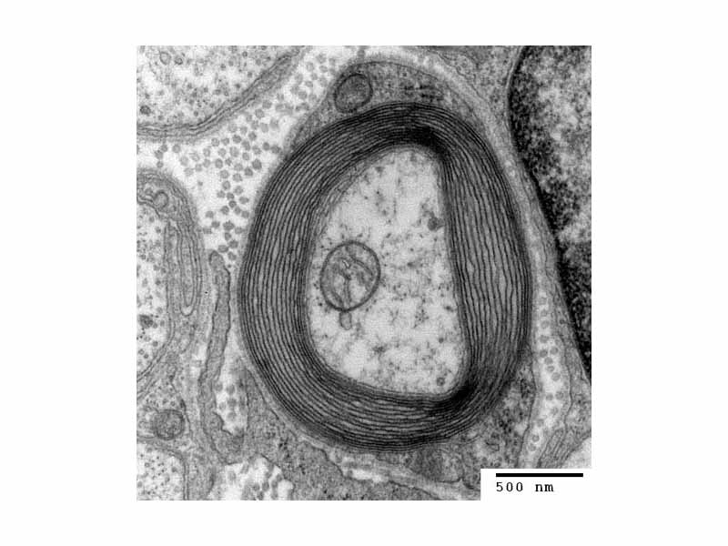
Transmission electron micrograph of a myelinated neuron. Generated at the Electron Microscopy Facility at Trinity College, Hartford, CT

Click this LINK to visit the original image and attribution information. Right click on the image to save the 800px teaching JPEG.



Transmission electron micrograph of a myelinated neuron. Generated at the Electron Microscopy Facility at Trinity College, Hartford, CT