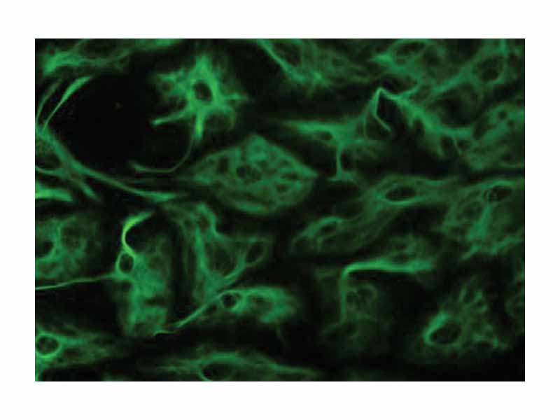
Astrocytes can be visualized in culture because, like other glia, they express glial fibrillary acidic protein.

Click this LINK to visit the original image and attribution information. Right click on the image to save the 800px teaching JPEG.



Astrocytes can be visualized in culture because, like other glia, they express glial fibrillary acidic protein.