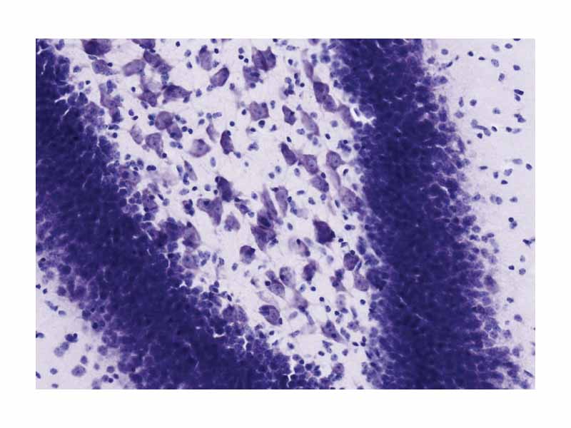
Image of a Nissl-stained histological section through the rodent hippocampus showing various classes of neurons.

Click this LINK to visit the original image and attribution information. Right click on the image to save the 800px teaching JPEG.



Image of a Nissl-stained histological section through the rodent hippocampus showing various classes of neurons.