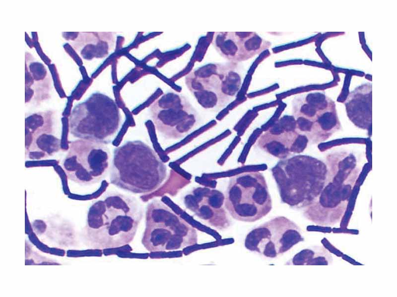
Gram-positive Bacillus anthracis bacteria (purple rods) in cerebrospinal fluid sample. The other cells are white blood cells

Click this LINK to visit the original image and attribution information. Right click on the image to save the 800px teaching JPEG.



Gram-positive Bacillus anthracis bacteria (purple rods) in cerebrospinal fluid sample. The other cells are white blood cells