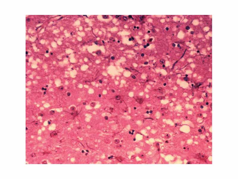
This micrograph of brain tissue reveals the cytoarchitectural histopathologic changes found in bovine spongiform encephalopathy. The presence of vacuoles, i.e. microscopic holes in the gray matter, gives the brain of BSE-affected cows a sponge-like appearance when tissue sections are examined in the lab.

Click this LINK to visit the original image and attribution information. Right click on the image to save the 800px teaching JPEG.



This micrograph of brain tissue reveals the cytoarchitectural histopathologic changes found in bovine spongiform encephalopathy. The presence of vacuoles, i.e. microscopic holes in the gray matter, gives the brain of BSE-affected cows a sponge-like appearance when tissue sections are examined in the lab.