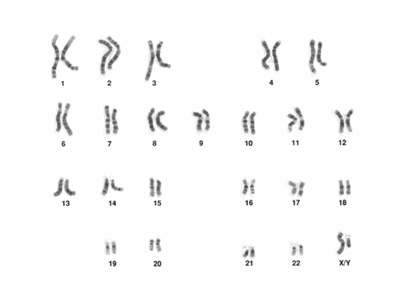
A karyotype of a human male, showing 46 chromosomes including XY sex chromosomes.

Click this LINK to visit the original image and attribution information. Right click on the image to save the 800px teaching JPEG.



A karyotype of a human male, showing 46 chromosomes including XY sex chromosomes.