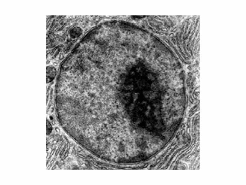
Micrograph of a cell nucleus published in Inside the Cell, a publication of the US National Institute of General Medical Sciences/National Institutes of Health.

Click this LINK to visit the original image and attribution information. Right click on the image to save the 800px teaching JPEG.



Micrograph of a cell nucleus published in Inside the Cell, a publication of the US National Institute of General Medical Sciences/National Institutes of Health.